Saúde

Saúde do Rio registra caso de doença raríssima, com menos de 200 registros no mundo

A Secretaria Municipal de Saúde do Rio de Janeiro descobriu um paciente com divertículo gigante, doença raríssima, com menos de 200 casos em todo o mundo. A doença foi relatada pelo Hospital Municipal Salgado Filho, no Méier, na Zona Norte. O assunto virou tema de artigo da revista científica “European Surgery — Acta Chirurgica Austriaca” e discutido no 17° Congresso Europeu Colorretal, realizado em dezembro na cidade de St. Gallen, na Suíça.

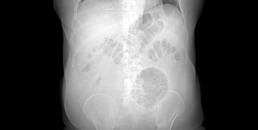
Médicos relataram uma formação inflamatória de 13 x 12 x 10cm na região abdominal. Em média, este tipo de inflamação tem entre 4 e 9cm de diâmetro. Segundo a SMS, o paciente é um homem de 62 anos que chegou na emergência do hospital com dores abdominais e perda de peso, alguns dos sintomas mais comuns de divertículo. Os problemas persistiam há pelo menos dois meses. Ele foi operado no Salgado Filho e está plenamente recuperado.

“O fato de o estudo ter sido publicado nesse congresso, muito restrito e respeitado, é o maior sinal da importância que ele tem”, destaca o cirurgião Alexandre Fiuza, um dos autores do trabalho. O médico atua há 30 anos no setor de cirurgia do hospital e ficou encarregado da extração do tecido inflamado.

Além de Alexandre, a cirurgia contou com a participação do filho dele, Leonardo Fiuza, que participa do Programa de Residência Médica da Secretaria Municipal de Saúde na mesma especialidade. Leonardo foi quem realizou o atendimento ambulatorial do paciente e descobriu o quadro através de uma tomografia computadorizada. O trabalho ainda teve a contribuição da cineasta Débora Fiuza, que também é filha de Alexandre. Ela preparou o vídeo de apresentação submetido à banca avaliadora do congresso. A cirurgia também teve a assistência das residentes Beatriz Salgado e Fernanda Rodrigues.

A SMS explicou que o exame clínico realizado na emergência indicou a presença de uma massa flácida, palpável e dolorosa no flanco esquerdo do abdome. Ao ver o resultado da tomografia computadorizada, Leonardo Fiuza ficou incrédulo com o tamanho da inflamação.

“Nunca havíamos ouvido falar em divertículo gigante. Pesquisamos e vimos que os casos eram raríssimos. Foi uma surpresa muito grande, que começou com um paciente com queixa de dor na barriga”, comenta Leonardo.

Uma semana depois, a cirurgia de laparotomia exploradora confirmou a existência de massa inflamatória na parede abdominal e no cólon sigmoide, que fica na porção final do intestino grosso. Os médicos relataram que o paciente teve uma recuperação tranquila e recebeu alta quatro dias depois.

“Ficamos muito orgulhosos pelo fato de o Hospital Salgado Filho ser representado na Suíça, com um trabalho superinteressante sobre um caso tão raro”, conclui Leonardo.

Fonte: CNN

Mostrar mais

Artigos relacionados

Deixe um comentário

O seu endereço de e-mail não será publicado. Campos obrigatórios são marcados com *

Botão Voltar ao topo